Acanthamoeba: Biology and Pathogenesis
|
Author: Naveed Khan Published: 2009 ISBN: 978-1-904455-43-1 Everything that is known about Acanthamoeba is critically reviewed and divided into easy-to-follow sections. The current state of research on genomics, molecular and cellular biology, life cycles, geographical distribution, role in ecosystem, morphology, motility, phylogenetics, genotyping, metabolism, regulation of morphogenesis, host-parasite interactions, the molecular and immunological basis of pathogenesis, methods of transmission, epidemiology, clinical manifestation, diagnosis, treatment, new target development and drug resistance, and much more. read more ... |
Figure from: Acanthamoeba Biology and Pathogenesis
Full details of this book at Acanthamoeba. More figures at Acanthamoeba Figures.
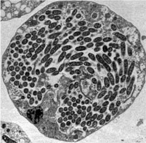
Section G. Figure 4. Transmission electron micrograph of an amoeba-filled with Legionella pneumophila.
Further reading at Acanthamoeba. More figures at Acanthamoeba Figures.



